Эпифизеолиз

Эпифизеолиз
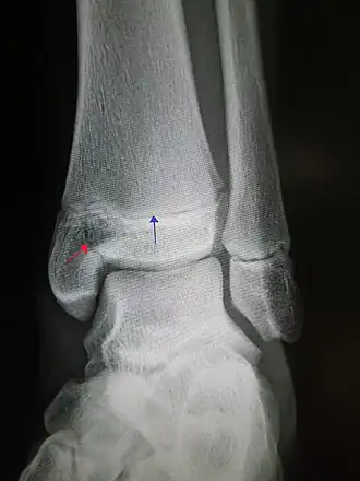
Рентгеновский снимок голеностопного сустава с эпифизеолизом медиальной лодыжки. Красная стрелка - линия перелома, синяя указывает на ростковую зону.
Рентгеновский снимок голеностопного сустава с эпифизеолизом медиальной лодыжки. Красная стрелка - линия перелома, синяя указывает на ростковую зону.
eMedicine radio/613 
MeSH D000072042
Логотип Викисклада Медиафайлы на Викискладе

Эпифизеолиз (новолат. epiphyseolysis; эпифиз + др.-греч. λύσις — распад, разрушение) — это травматическое повреждение хрящевой ткани в области соединения метафиза трубчатой кости с эпифизом. Эта зона подвержена травмам преимущественно до окончания периода роста конечностей в длину. У взрослых хрящи в этой области полностью заменены твердой тканью. В медицине болезнь еще называют переломом Салтера — Харриса (Salter — Harris) по двум авторам, описавшим виды патологии. Разрушение хрящевой пластины приводит к асимметрии конечностей, деформации скелета, а иногда и к полному прекращению роста. Источник: https://xnog.ru/meditsina/sustavy/ehpifizeoliz/ Составляет около 15% от общего количества переломов у детей. Почти в половине случаев возникает в области лучезапястного и локтевого суставов. Мальчики страдают вдвое чаще девочек.

Эпифизеолиз хорошо срастается, но поражение эпифизарной пластинки может повлечь за собой дальнейшее нарушение роста кости.

Самыми распространенными признаны эпифизеолизы и остеоэпифизеолизы. Они классифицируются как хондропатии и имеют код по МКБ 10 от М91 до М94 в зависимости от локализации поражения.

Заболевания встречаются только у детей и подростков до завершения процесса окостенения.

При остеоэпифизеолизе линия перелома переходит на диафиз.

Эпифизеолизы головок трубчатых костей наблюдаются у пациентов с эндокринными нарушениями, включающими недостаточность гормона роста.

Типы

Существуют девять типов перелома, 5 из которых описаны Robert B Salter и W Robert Harris в 1963 году[1], остальные, более редкие, описаны позже[2]:

  • I тип — поперечный перелом через ростковую зону[3] : 6 % случаев
  • II тип — Линия перелома проходит через ростковую зону и метафиз, не затрагивая эпифиз[4]: 75 % случаев
  • III тип — Линия перелома проходит через ростковую зону и эпифиз, не затрагивая метафиз[5]: 8 % случаев
  • IV тип — Линия перелома проходит через три элемента кости: ростковую зону, метафиз и эпифиз[6]: 10 % случаев
  • V тип — Компрессионный перелом ростковой зоны, выглядящий на рентгенограмме в виде уменьшения её высоты (расстояния между эпифизом и диафизом)[7]: 1 % случаев
  • VI тип — Повреждение периферической порции ростковой зоны, приводящей к формированию костного мостика и ангулярной деформации конечности (введён в 1969 году Mercer Rang)[8]
  • VII тип — Изолированное повреждение ростковой зоны (типы VII—IX введены в 1982 году JA Ogden)[9]
  • VIII тип — Изолированное повреждение ростковой зоны с возможным нарушением энхондрального костеобразования
  • IX тип — Повреждение периоста с возможным нарушением эндесмального костеобразования

Причины

В группу риска входят в основном мальчики. Процесс закрытия зоны роста у них происходит дольше, чем у девочек. Они более активны в быту и на отдыхе. Также переломам головки эпифиза подвержены люди, увлекающиеся следующими видами спорта: футбол; гимнастика: волейбол; прыжки в длину и высоту. Кроме физических нагрузок и травм, остеоэпифизеолиз могут спровоцировать патологии эндокринной системы и особенности строения скелета. Слишком худые и высокие дети подвержены перелому эпифиза чаще, чем имеющие нормостенический тип телосложения. У них повышена нагрузка на хрящевые пластины за счет дефицита мышечной массы. Источник: https://xnog.ru/meditsina/sustavy/ehpifizeoliz/

Изображения эпифизеолиза

Примечания

  1. Salter R.B., Harris W.R. Injuries Involving the Epiphyseal Plate (англ.) // Journal of Bone and Joint Surgery. — 1963. Vol. 45, no. 3. P. 587—622. Архивировано 6 сентября 2008 года.
  2. Fracture Imaging 412956, раздел Salter-Harris Fracture Imaging (англ.) на сайте EMedicine
  3. S.H. Type I — Wheeless' Textbook of Orthopaedics. Дата обращения: 13 ноября 2011. Архивировано 22 августа 2013 года.
  4. S.H. Type II — Wheeless' Textbook of Orthopaedics. Дата обращения: 13 ноября 2011. Архивировано 22 августа 2013 года.
  5. Salter Harris Type III Frx — Wheeless' Textbook of Orthopaedics. Дата обращения: 13 ноября 2011. Архивировано 22 августа 2013 года.
  6. Salter Harris: Type IV — Wheeless' Textbook of Orthopaedics. Дата обращения: 13 ноября 2011. Архивировано 22 августа 2013 года.
  7. Type V — Wheeless' Textbook of Orthopaedics. Дата обращения: 13 ноября 2011. Архивировано 22 августа 2013 года.
  8. The Growth Plate and Its Disorders (неопр.) / Rang, Mercer. — Harcourt Brace/Churchill Livingstone, 1968. — ISBN 9780443005688.
  9. JA Ogden. Skeletal growth mechanism injury patterns (неопр.) // J Pediatr Orthop. — 1982. Т. 2, № 4. С. 371—377. PMID 7142386.