Пинеалома
| Пинеалома | |
|---|---|
| Пинеалома | |
| МКБ-11 | XH8QA9 |
| МКБ-10 | D44.5, C75.3 |
| МКБ-10-КМ | C75.3 |
| МКБ-9 | 237.1, 194.4 |
| МКБ-9-КМ | 194.4[1] |
| МКБ-О | M9360/1-9362/3 |
| DiseasesDB | 10044 |
| eMedicine | med/2911 |
| MeSH | D010871 |
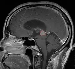
Пинеалома — опухоль головного мозга, исходящая из шишковидного тела. Это гетерогенная группа новообразований, локализующихся в пинеальной области (задние отделы III желудочка, область цистерны четверохолмия) и имеющих различное происхождение. Развитие пинеаломы может быть связано с опухолевой трансформацией пинеалоцитов, астроцитов или гоноцитов[2][3]. Опухоль, развившаяся из пинеалоцитов, в зависимости от степени дифференцировки носит название пинеоцитома, пинеальная паренхиматозная опухоль промежуточной дифференцировки, пинеобластома. Опухоли астроцитарного происхождения имеют типичное строение. Наиболее характерным для астроцитомы является медленный, инфильтративный рост.
Пинеобластому удаляют хирургическим путём. При подозрении на опухоль проводят биопсию[4].
Классификация
- Пинеоцитома (WHO grade I) — хорошо дифференцированная опухоль. Составляет 20% всех опухолей эпифиза. Поражает как правило взрослых, средний возраст при постановке диагноза 43 года, но может возникнуть в любом возрасте. Чаще болеют женщины, отношение мужчин к женщинам 0.6:1. Представляет собой хорошо отграниченную солидную массу, не имеющую тенденции к инфильтративному росту. Прогноз после хирургического лечения благоприятный.
- Пинеальная паренхиматозная опухоль промежуточной дифференцировки (WHO grade II-III) — по степени дифференцировки является промежуточной опухолью между пинеоцитомой и пинеобластомой. Составляет примерно 45% всех опухолей эпифиза. Встечается в любом возрасте, средний возраст при постановке диагноза 41 год. Может рецидивировать после хирургического удаления (примерно в 22% случаев), имеет тенденцию к краниоспинальному распространению (около 15% случаев).
- Пинеобластома (WHO grade IV) — низкодифференцированная опухоль. Составляет 35% всех опухолей эпифиза. Чаще встречается в возрасте до 20 лет (средний возраст 17,8 лет). Немного больше распространена среди женщин - отношение мужчин к женщинам 0.7:1. Обладает инвазивным ростом, инфильтрирует окружающие эпифиз структуры. Пятилетняя выживаемость пациентов варьирует от 10% до 81%.
Симптомы
Симптомы опухоли обусловлены её расположением. Наиболее частыми симптомами являются головные боли, тошнота и рвота. Они обусловлены повышением внутричерепного давления вызванного обструктивной гидроцефалией, которая возникает при сдавлении опухолевой массой водопровода мозга и нарушением циркуляции спинномозговой жидкости.
Компрессия верхнего двухолмия опухолью приводит к синдрому Парино - невозможности вертикальных движений глаз, небольшой дилатации зрачка. Возможно развитие отёка соска зрительного нерва
Могут наблюдаться симптомы, связанные с поражением других структур ствола мозга и мозжечка: головокружение, тремор, нистагм.
Морфология
Пинеоцитомы макроскопически представляют собой хорошо отграниченные образования серовато-коричневого цвета, гомогенные или гранулярные на разрезе. Микроскопически состоят из относительно небольших мономорфных клеток похожих на пинеалоциты. Паттерн роста листовидный, часто с образованием пинеоцитоматозных розеток. Ядра круглые или овальные. Фигуры митоза редки (менее 1 на 10 полей зрения).

Пинеальные паренхиматозные опухоли промежуточной дифференцировки макроскопически неотличимы от пинеоцитом. Микроскопически выделяется два паттерна роста: диффузный и дольчатый. Ядра круглые с легкой или умеренной атипией и гранулярным хроматином (так называемый хроматин по типу "соли и перца"). Митотическая активность слабая или умеренная
Пинеобластомы при макроскопическом исследовании не имеют четких границ, характеризуются инвазивным, инфильтрирующим ростом. Консистенция мягкая, хрупкая, цвет розово-серый, часто с некрозами. Микроскопически опухоль обладает высокой клеточностью, представлена листами плотно расположенных небольших клеток. Ядра неправильной формы, гиперхроматичные, ядерно-цитоплазматическое отношение высокое. Розетки редки, но могут наблюдаться розетки Гомера Райта и розетки Флекснера-Винтерштайнера. Появление розеток Флекснера-Винтерштайнера говорит о ретинобластной дифференцировке опухоли. Митотическая активность высокая.
Лечение
Основой лечения опухолей пинеальной области является хирургическое вмешательство — удаление опухоли. После операции проводят радиотерапию, в случае развития гидроцефалии делают вентрикуло–перитонеальное шунтирование[5].
Примечания
- ↑ Disease Ontology (англ.) — 2016.
- ↑ eMedicine - Germinoma, Central Nervous System : Article by Daniel D Mais, MD. Дата обращения: 3 декабря 2007. Архивировано 4 мая 2012 года.
- ↑ Опухоли паренхимы шишковидной железы. Дата обращения: 24 июля 2010. Архивировано из оригинала 4 декабря 2010 года.
- ↑ Пинеобластома на Eurolab. Дата обращения: 23 июля 2010. Архивировано 4 мая 2012 года.
- ↑ Пинеобластома на NeuroCenter.co.il. Дата обращения: 24 июля 2010. Архивировано из оригинала 4 мая 2012 года.
Литература
- WHO classification of tumours of the central nervous system. — Revised 4th edition. — Lyon. — 408 pages с. — ISBN 978-92-832-4492-9, 92-832-4492-3.