Клетка Панета

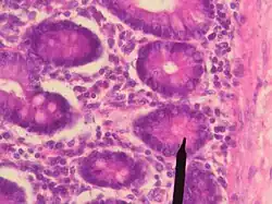
Человеческие клетки Панета

Клетки Панета — клетки тонкой кишки, обеспечивающие антибактериальную защиту. Названы в честь австрийского врача Йозефа Панета. Функционально схожи с нейтрофилами. При столкновении с бактериями или бактериальными антигенами выделяют антимикробные вещества в просвет крипты, способствуя поддержанию кишечного барьера.

Основные защитные молекулы, вырабатываемые клетками Панета, — альфа-дефензины, катионные пептиды, способные формировать поры в мембранах атакуемых клеток. Благодаря распространённости отрицательных ионов на мембранах бактерий в противовес более катионным клеткам тела позвоночных, дефензины выполняют свою функцию, не повреждая сам организм.

Помимо дефензинов, клетки Панета выделяют лизоцим и фосфолипазу A2, которые также имеют антимикробные свойства.