Дискогезивная карцинома
.jpg)
Дискогезивная карцинома (англ. poorly cohesive carcinoma) желудка (карцинома со слабым образованием межклеточных соединений) – злокачественная опухоль желудка эпителиального происхождения, для которой характерно диффузное расположение опухолевых клеток, изолированно друг от друга или в виде небольших групп.
Согласно современной классификации опухолей, принятой Всемирной организацией здравоохранения/Международным агентством по исследованию рака (World Health Organization/International Agency for Research on Cancer Classification of Tumours), данный термин является наиболее приемлемым для обозначения такого рода неоплазм и имеет код: 8490/3 (ICD-O code: 8490/3) в составе вышеупомянутой системы классификации. В специализированной литературе также можно встретить такие синонимы, как: «диффузная карцинома», «диффузно-инфильтративная карцинома». Ранее выделявшаяся перстневидноклеточная карцинома желудка на сегодняшний день является частным случаем дискогезивной карциномы.
Стоит отметить, что данное обозначение как нозологическая единица пока рассматривается только в контексте опухолей желудка.
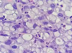
Клетки опухоли могут иметь перстневидноклеточную цитоморфологию, то есть иметь округлую форму с эксцентрически расположенным ядром, вследствие большого количества внутриклеточного муцина. Также, они могут напоминать по своему строению лимфоциты, гистиоциты и плазматические клетки. Располагаются клетки, как правило, диффузно, могут формировать небольшие группы в виде полос железистоподобных структур с выраженной десмопластической реакцией стромы. Могут сочетаться с тубулярным и микропапиллярным видами организации опухолевой ткани.
Постановка гистологического диагноза «дискогезивная карцинома» подразумевает преобладание клеток опухоли с соответствующими характеристиками над другими патернами.
Данный вид опухоли чаще наблюдается у лиц молодого возраста, в отличие от тубулярных и микропапиллярных карцином. В этиологии развития последних большую роль играют условия окружающей среды, наличие инфекции Helicobacter pylori, наличие и степень атрофии и интестинализации. Этиология дискогезивной карциномы по данным преобладающего большинства исследований носит генетически-обусловленный характер, отчасти связанный с нарушением синтеза Е-кадерина.
Степень дифференцирования дискогезивной карциномы гистологически не оценивается.
Ссылки
- Архивная копия от 20 декабря 2016 на Wayback Machine
- Архивная копия от 20 декабря 2016 на Wayback Machine
- Архивная копия от 20 декабря 2016 на Wayback Machine