Бластоциста

Бластоци́ста (от др.-греч. βλάστη (blaste) — «зачаток» и др.-греч. κύστις (kystis) — пузырь) — ранняя стадия развития зародыша млекопитающих (в том числе человека). Стадия бластоцисты следует за стадией морулы и предшествует стадии зародышевого диска. Стадия бластоцисты относится к преимплантационному периоду развития, то есть самому раннему периоду эмбриогенеза млекопитающих (до прикрепления зародыша к стенке матки).
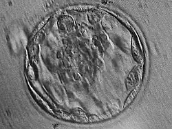
Внешне бластоциста представляет собой шар, состоящий из нескольких десятков или сотен клеток. Размер бластоцисты колеблется от долей миллиметра (0,1 мм у грызунов и человека) до нескольких миллиметров (у непарнокопытных). Эмбрионы на стадии бластоцисты состоят из двух различных типов клеток: трофобласта (трофэктодермы) и эмбриобласта (внутренней клеточной массы)[1]. Трофобласт формирует внешний слой эмбриона — полый шар или пузырёк. Эмбриобласт формирует внутренний слой бластоцисты, располагается внутри трофобластатического пузырька в виде скопления клеток у одного из полюсов шара (внутренняя клеточная масса). Трофобласт участвует в имплантации (прикрепление эмбриона к эпителию матки, инвазия внутрь эндометрия матки, иммуносупрессорное действие, разрушение кровеносных сосудов), а также в формировании эктодермы ворсинок хориона (эктодермальная часть плаценты). Эмбриобласт даёт начало собственно телу плода, а также мезодермальным и энтодермальным структурам внезародышевых органов (желточному мешку, аллантоису, амниону, мезодермальной части хориона).
В эволюции млекопитающих бластоциста как стадия развития возникла для обеспечения имплантации, а также для организации пространственной основы формирования зародышевого диска при отсутствии желтка. Имплантация имеет решающее значение для выживания и развития раннего человеческого эмбриона. Он устанавливает связь между матерью и ранним эмбрионом, которая будет продолжаться до конца беременности. Имплантация стала возможной благодаря структурным изменениям как в бластоцисте, так и в стенке эндометрия[2]. Высвобождаемые ферменты разрушают слизистую оболочку эндометрия, в то время как аутокринные факторы роста, такие как хорионический гонадотропин человека (ХГЧ) и инсулиноподобный фактор роста (ИФР), позволяют бластоцисте в дальнейшем проникать в эндометрий[3].
Стадия бластоцисты не гомологична стадии бластулы. Стадия бластулы следует в онтогенезе млекопитающих позже (зародышевый диск), в т. н. «первую фазу гаструляции», но традиционно термин «бластула» к млекопитающим и другим амниотам не применяют. Соответственно распространённой ошибкой является употребление слова «бластоцель» по отношению к полости бластоцисты.
Примечания
- ↑ Blastocyst - an overview | ScienceDirect Topics. www.sciencedirect.com. Дата обращения: 4 июля 2023. Архивировано 4 июля 2023 года.
- ↑ Источник. Дата обращения: 4 июля 2023. Архивировано 5 июля 2023 года.
- ↑ Santha Srisuparp, Zuzana Strakova, Asgerally T Fazleabas. The Role of Chorionic Gonadotropin (CG) in Blastocyst Implantation (англ.) // Archives of Medical Research. — 2001-11-01. — Vol. 32, iss. 6. — P. 627–634. — ISSN 0188-4409. — doi:10.1016/S0188-4409(01)00330-7.