Костная резорбция

Костная резорбция
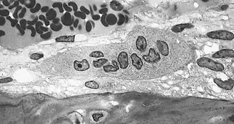
Остеокластосновной двигатель процессакостной резорбции
Остеокласт
основной двигатель процесса
костной резорбции
МКБ-10 M80
МКБ-9 733.99
eMedicine ent/646 
MeSH D001862
Логотип Викисклада Медиафайлы на Викискладе

Ко́стная резо́рбция (от лат. resorbere — «поглощать»), или резорбция костной ткани, — разрушение (рассасывание, деградация) костной ткани под действием остеокластов.

Механизмы резорбции

Резорбция костной ткани (разрушение, рассасывание кости, остеолиз) происходит при участии гигантских многоядерных клеток, так называемых остеокластов, которые также имеют большое количество лизосом, митохондрий и вакуолей.

Остеокласт — это основная клетка, участвующая в процессе резорбции кости. При активизации этих клеток у них появляется функциональная зона — «гофрированный край», или «щёточная каёмка». Гофрированный край представляет собой спирально-скрученную мембрану клетки с множественными цитоплазматическими складками, он обращён в сторону развивающегося процесса резорбции и является местом активного окисления тканей.[1]:26-28 Группа остеокластов растворяет минеральный компонент кости, а также гидролизует органический матрикс. Разрушение кости начинается с прикрепления остеокласта к минерализованной костной поверхности «гофрированным краем», через который выделяются гидролитические ферменты и протоны, а также различные интегрины (α₁, αᵥ, β₁, β₃), участвующие в растворении кости.[1]:28 Другие клетки, принимающие участие в резорбции костной ткани — это моноциты и макрофаги. Они взаимодействуют с костной тканью посредством фагоцитоза и хемотаксиса, в большинстве случаев действуя как «уборщики мусора». Помимо фагоцитарной активности продуцируются цитокины (ИЛ-1, ИЛ-1α, ИЛ-1β, ФНО-α и др.) влияющие на активизацию коллагеназ, разрушающих белковый матрикс. Кроме того, моноциты и макрофаги рассматриваются многими учёными как предшественники остеокластов.[1]:31-32 Имеются сведения о влиянии лимфоцитов на резорбцию костной ткани посредством секреции ФНО-β, а также через 1,25-дигидроксивитамин D и ПТГ, к которым лимфоциты имеют рецепторы.[1]:32

Клиническое значение

Резорбция костной ткани является неотъемлемой частью как физиологического процесса, так и патологического. Прежде всего следует различать патологическую резорбцию и нормальный физиологический процесс.

Патологическая костная резорбция может быть ограниченной (локальной), которая спровоцирована местным воспалением, например, вследствие травмы или инфекции, при этом запускаются локальные факторы, активирующие резорбцию, такие как факторы роста, цитокины, простагландины и др. Повышенная костная резорбция может проявляться во многих областях скелета и тогда она имеет системный характер, в этих случаях задействованы системные факторы регуляции. Такая резорбция костной ткани наблюдается при многих метаболических заболеваниях скелета, особенно при остеопении и остеопорозе, заболеваниях эндокринной системы, ревматических заболеваниях, заболеваниях органов пищеварения, почек, крови и других состояниях, а также при генетических нарушениях и приёме некоторых медикаментов.[2]:12-29

Физиологическая костная резорбция является неотъемлемой частью функционирования кости, которая постоянно обновляется за счёт двух противоположных процессов — разрушения и образования костной ткани. Костная ткань — это динамическая система с активным метаболизмом. Последовательная цепь процессов удаления участков старого костного матрикса и замещение его новым носит название ремоделирования костной ткани или костное ремоделирование.[2]:10 В детском возрасте за счёт именно этих процессов происходит рост и увеличение скелета, в этот период образование костной ткани естественным образом преобладает над резорбцией. Локальным проявлением физиологической костной резорбции также может служить процесс прорезывания зубов, в котором продвижению зубного фолликула предшествует активная резорбция челюстной костной ткани. В сформировавшемся скелете (зрелый возраст) процессы рассасывания старой кости и образования новой в целом уравновешены. Однако с возрастом процессы ремоделирования постепенно смещаются в сторону резорбции, и количество рассосавшейся костной ткани начинает преобладать над вновь образованной, в результате чего и происходит постепенная потеря костной массы, что может приводить сначала к возрастной остеопении, а затем и к — остеопорозу.

Ремоделирование кости не только обеспечивает сохранность и обновление скелета, но и играет важную роль в минеральном обмене, так как кость является естественным резервуаром микроэлементов (кальция, магния и фосфатов), которые в период резорбции постепенно высвобождаются и поступают в кровоток.

Регуляция костной резорбции

Видимые возрастные изменения
в костной ткани (остеопороз)

Процесс перестройки (ремоделирования) костной ткани происходит в отдельных участках кости, которые носят название «единицы ремоделирования» или базисной многоклеточной единицы (БМЕ). В этих участках локально протекают сопряжённые процессы резорбции и образования кости. Активизация процесса начинается с запуска неких сигналов-стимулов, по которым остеокласты и другие мононуклеарные клетки мигрируют к определённому участку костной ткани и прикрепляются к костной пластине. Остеокласты продуцируют протеолитические ферменты, лактат, ионы водорода, которые разрушают (гидролизуют) белковый матрикс и растворяют минеральную часть кости, при этом выделяется свободный кальций и другие компоненты.[1]:85—87 В результате такой активности в губчатой кости образуются углубления до 40 мкм, имеющие форму блюдца, а в кортикальной кости — конусовидные пустоты диаметром около 150 мкм и длиной до 2,5 мм. Продолжительность фазы резорбции длится от 27 дней в кортикальном слое кости и до 42 дней в губчатой ткани. Этот период резорбции включает в себя и фазу реверсии длительностью 4 дня в кортикальной и 9 дней в губчатой тканях кости. Фаза реверсии является переходным периодом, в который процесс резорбции сопряжён с процессом формирования кости. В период реверсии образуется цементирующая линия (или клей), которая соединяет новую и старую кость. Цикл ремоделирования завершается фазой формирования кости, которая длится от 95 до 130 дней. Вновь образующийся участок костной ткани носит название базисной структурной единицы (БСЕ) или остеона. Остеобласты образуют неминерализованный органический матрикс (остеоид), который через 25—35 дней начинает минерализоваться.[1]:87 Ремоделирование кости начинается ещё в пренатальном периоде и продолжается на протяжении всей жизни. Активность ремоделирования костной ткани и скорость костеобразования находятся на высоком уровне вплоть до достижения индивидом половой зрелости, затем этот уровень снижается. В среднем к 20—23 годам жизни достигается пик костной массы, который поддерживается на заданном уровне до 30—35 лет у женщин, а у мужчин — несколько дольше. В этот возрастной период ремоделирование кости имеет циклический равномерный характер, в котором процессы разрушения и образования кости уравновешены, что обеспечивает обновление кости и сохранение костной массы, а также поддерживает минеральный обмен. С возрастом интенсивность ремоделирования костной ткани резко снижается, это происходит после 35 лет у женщин и 50 лет у мужчин. Резорбция костной ткани идёт с бо́льшей скоростью, чем костеобразование, начинается постепенная потеря массы кости, что становится причиной возрастного уменьшения костного объёма и снижения минеральной плотности костной ткани (МПКТ).[2]:12
Без резорбции костной ткани не может происходить образование новой кости. Процесс ремоделирования идёт одновременно в нескольких отдельных участках скелета, где внеклеточный матрикс последовательно удаляется, а затем замещается новой тканью. В целом цикл ремоделирования схематично можно представить следующим образом: активизация → резорбция → реверсия → формирование → покой.[1]:85
Регулирование процессов ремоделирования костной ткани — это сложный механизм, который находится под контролем различных системных и локальных факторов. К системным факторам относятся: кальций-регулирующие гормоны (паратиреоидный гормон — ПТГ; кальцитонин; активные метаболиты витамина D₃ — кальцитриол), системные гормоны (половые гормоны — эстрогены, андрогены, прогестины, тестостерон; гормоны щитовидной железы — тироксин; глюкокортикоиды — ГК; соматотропный гормон — СТГ; инсулин). Местные регуляторы представляют: ростовые факторы (инсулиноподобные ростовые факторы — ИПРФ-1 и ИПРФ-2; ростовой фактор фибробластов; трансформирующий фактор роста β — ТФР-β; и др.), простагландины (простагландин Е₂ — ПГЕ₂), цитокины (интерлейкины — ИЛ-1, ИЛ-2, ИЛ-6, ИЛ-11 и др.; гранулоцитарно-макрофагальный колониестимулирующий фактор — ГМКГ; фактор некроза опухоли — ФНО-α; лимфотоксин-альфа — ФНО-β).[2]:13,22 Одни из этих гормонов и факторов, прежде всего, стимулируют костную резорбцию, другие оказывают преимущественно тормозящее действие, однако и те и другие действуют по принципу обратной связи.

Стимулируют костную резорбцию:
Паратиреоидный гормон (ПТГ) — важнейший регулятор кальциевого обмена и костного метаболизма. Его основное действие на костную ткань — это стимуляция костной резорбции через активацию остеокластов.[3]

Глюкокортикоиды (ГК) в избыточном количестве оказывают непрямое стимулирующее влияние на костную резорбцию. Они снижают абсорбцию кальция в кишечнике и реабсорбцию кальция в почках, что приводит к гипокальциемии, которая по принципу обратной связи стимулирует секрецию ПТГ. Кроме того, ГК подавляют функцию остеобластов и замедляют созревание клеток предшественников остеобластов. При гиперкортицизме отмечается снижение соматотропной функции гипофиза и уровня половых гормонов, что в свою очередь замедляет процессы костеобразования.[2]:46—48

Гормоны щитовидной железы. Тиреоидные гормоны оказывают как прямое, так и опосредованное действие на активизацию костного обмена и процессы ремоделирования. Тироксин (Т₄) и трийодтиронин (Т₃) необходимы для нормального роста и развития скелета, они увеличивают число и активность остеокластов, но также активизируют и функцию остеобластов. Избыток этих гормонов в организме (как эндогенный, так и экзогенный) приводит к резкой активизации процесса резорбции костной ткани.

Витамин D — холекальциферол в настоящее время считается компонентом гормональной системы и относится к прогормонам стероидной группы. Он регулирует фосфорно-кальциевый обмен, участвует в минерализации костной ткани и в то же время поддерживает гомеостаз кальция. Биологическое действие активных метаболитов этого витамина (кальцитриола) состоит в активизации костного обмена, повышении абсорбции кальция и фосфора в кишечнике и усилении экскреции кальция почками. Совместно с ПТГ Витамин D стимулирует костную резорбцию (как остеокластическую резорбцию, так и остеоцитарный остеолиз) за счёт увеличения количества остеокластов и активизации дифференциации клеток-предшественников.[2]:14—16

Локальные факторы, усиливающие костную резорбцию — интерлейкины (ИЛ-1, ИЛ-3, ИЛ-6, ИЛ-11), фактор некроза опухоли (ФНО-α), лимфотоксин-альфа (ФНО-β), гранулоцитарно-макрофагальный стимулирующий фактор, фактор стволовых клеток и простагландины.

Ингибируют костную резорбцию:
Кальцитонин-гипокальциемический гормон — продуцируется С-клетками щитовидной железы. Органом-мишенью для него служит костная ткань, а основным биологическим действием является торможение костной резорбции. Кальцитонин проявляет очень мощное прямое ингибирующее действие на остеокластическую активность и формирование остеокластов, чем провоцирует исчезновение функционально-активного гофрированного края клетки. Кроме того он подавляет распад коллагена. Кальцитонин является функциональным антагонистом ПТГ.[1]:34

Половые гормоны (эстрогены, андрогены, прогестины) — оказывают значительное влияние на скелет в течение всей жизни человека. Они непосредственно участвуют в формировании скелета и определяют его половой диморфизм, контролируют достижение пика костной массы и скорость её дальнейшего снижения, поддерживают минеральный гомеостаз. В этом ряду ведущую роль играют эстрогены, регулируя метаболизм костной ткани, как у женщин, так и у мужчин.[2]:19[2]:19

Эстрогены оказывают прямое действие на все костные клетки в силу того, что рецепторы к эстрогенам обнаружены на всех типах костных клеток. Они снижают костную резорбцию за счёт угнетения активности остеокластов, а также их дифференцирования на ранних стадиях из клеток предшественников. Опосредованное действие эстрогенов осуществляется через подавление местных резорбирующих факторов (ИЛ-1, ИЛ-6, ФНО-α, ГМКФ). Кроме того эстрогены проявляют защитное действие на костную ткань от резорбтивного влияния ПТГ.[2]:18—20
Дефицит эстрогенов у женщин репродуктивного возраста и в период менопаузы является ведущим фактором в развитии остеопении и остеопороза, в основе развития которых лежит нарушение равновесия в процессе ремоделирования костной ткани с преобладанием темпа резорбции кости. При этом также имеет место снижение синтеза кальцитриола [1,25(ОН)₂D₃], увеличение количества цитокинов (ИЛ-1, ИЛ-6) и факторов роста (ИПФР-I, ИПФР-II, ТФР-β и др.), продукция которых также регулируется эстрогенами.[1]:38—41

Диагностика

Структура костной ткани:
нормальная и разрушающаяся

В общей диагностике заболеваний и непатологических состояний организма с проявлением костной резорбции (в первую очередь это остеопения и остеопороз), а также в оценке степени этой резорбции в настоящее время существуют три основных направления:

1. Лучевая диагностика — это рентгенография, радиография и остеоденситометрия.
Широкое распространение имеет обычная рентгенография. Однако визуальная оценка рентгенограмм скелета является субъективной и малоинформативной. Остеопороз по рентгенограммам выявляется лишь на поздних стадиях, когда происходит потеря уже 30 % костной массы и более. Существуют радиоизотопные методы исследования скелета — сцинтиграфия, которая также не способна выявить остеопенические состояния, как правило, предшествующие остеопорозу.[2]:67-73 Наиболее информативным методом костной денситометрии является двухэнергетическая рентгеновская абсорбциометрия (DEXA). Это низкоэнергетический метод с высокой точностью измерений и малой лучевой нагрузкой на пациента. Он позволяет количественно определить минеральную плотность костной ткани (МПК) в различных отделах скелета и общую костную массу, а также выявить их снижение уже при 2-5 % потери.[4]:45 Расчёт условных единиц и величины стандартного отклонения от среднестатистических показателей позволяет количественно различить как варианты нормы, так остеопению и остеопороз.[2]:81 Метод компьютерной томографии расширяет возможности исследования костной ткани. Его преимущества — это высокая воспроизводимость, меньшее облучение, высокая точность исследования и возможность раздельной оценки губчатой и компактной кости.[2]:82 В целом лучевая диагностика позволяет в большей степени оценить состояние костной ткани по минеральному компоненту, но является менее информативной в отношении органической составляющей. Кроме того к её недостаткам можно отнести облучение пациента и относительную дороговизну обследования.

2. Лабораторная диагностика включает исследование минерального обмена, гормональное обследование и определение биохимических маркёров костного метаболизма.
Минеральный гомеостаз оценивается по уровню общего и ионизированного кальция, фосфора и магния в крови, а также активных форм витамина D, которые позволяют косвенно судить об активности обменных процессов в костной ткани. Важным моментом в этой связи является исследование экскреции кальция и креатинина в утренней моче, проведённые натощак.[2]:87-89 Это наиболее дешёвый метод оценки резорбции кости, однако он малочувствителен, и может быть в достаточной мере информативным только при высокой скорости резорбции. Следующим шагом в оценки минерального обмена и установки диагноза служит определение уровня кальцийрегулирующих гормонов (ПТГ, кальцитонин).
Исследование системных гормонов является ключевым звеном в диагностике метаболических заболеваний скелета. Ведущими среди них являются половые гормоны (эстрогены, андрогены, тестостерон), при снижении уровня которых усиливается костная резорбция, что ведёт к развитию остеопении и остеопороза (гипогонадальный остеопороз, постменопаузальный остеопороз).[4]:33-35 Тиреоидные гормоны в своём избытке также повышают костную резорбцию, а гипертиреоз приводит к усилению костного обмена, увеличению количества остеокластов и развитию остеопороза. В то же время при снижении функции щитовидной железы (гипотиреозе) нарушается обмен кальция с тенденцией снижения его концентрации в крови (особенно ионизированного кальция), значительно замедляется костное ремоделирование, что может приводить к развитию остеопении. Стероидный остеопороз возникает в результате воздействия на костную ткань избыточного количества гормонов коры надпочечников — глюкокортикоидов (ГК). Эндогенный гиперкортицизм (при болезни и синдроме Иценко — Кушинга) и экзогенный гиперкортицизм (в результате длительного терапевтического применения ГК) усиливают резорбцию костной ткани.[2]:46-49 Анализ гормонограмм необходим не только в диагностических целях для выявления причин остеопении и остеопороза, но и выбора адекватной терапии.

Биохимические маркёры костной резорбции
Наиболее полную информацию о процессах ремоделирования костной ткани представляют биохимические маркёры костного метаболизма. Это маркёры костной резорбции и маркёры формирования кости.[5] Резорбция костной ткани включает в себя разрушение минерального и органического комплексов. При разрушении костного матрикса происходит деструкция коллагена с образованием молекулярных фрагментов, это С- и N-телопептиды коллагена I типа, а также поперечных сшивок коллагена — пиридинолина и дезоксипиридинолина.[6] В норме эти производные пиридина образуют поперечные соединения в спиральной структуре коллагена, обеспечивая его стабильность за счет поперечных ковалентных связей между отдельными молекулами полипептидных цепей коллагена I типа. Повышается уровень лизосомальных ферментов остеокластов — кислой фосфатазы и особенно тартратрезистентной кислой фосфатазы (ТРКФ). Все эти компоненты преимущественно содержатся в костной ткани, в других органах и тканях они содержатся в минимальных количествах. Поэтому при резорбции кости эти продукты распада поступают в кровоток и затем выводятся с мочой, идеально играя роль биохимических маркёров костной резорбции.[4]:42-45 Определять маркёры можно как в моче, так и в сыворотке крови методом иммуноферментного анализа (ИФА или ELISA). С-концевые телопептиды коллагена I типа фрагментируются и отщепляются в самом начале деструкции кости, они получили название CrossLaps. Различают α- и β- изомеры CrossLaps. Выявление высоких концентраций β-CrossLaps свидетельствует о резорбции относительно старой кости, а повышение уровня α-изомеров характеризует усиление резорбции молодой или вновь образованной костной ткани. Иммунохимическое определение β-CrossLaps коррелирует с результатами гистоморфометрического исследования биоптатов кости. Однако точность метода в большой степени зависит от условий проведения, и качества используемых коммерческих наборов тест-реактивов.

Преимуществом биохимических методов исследования является неинвазивность проведения, доступность, особенно параметров определяемых в моче, поскольку моча является одним из самых удобных объектов исследования. Маркёры костной резорбции являются высокоспецифичными, они быстрее реагируют на изменения в ремоделировании кости и появляются в исследуемых жидкостях, предоставляя информацию об активности процесса.[6] В отличие от денситометрии, биохимические маркёры являются более ранними диагностическими критериями. Хотя денситометрия — весьма точный и нетравматичный метод исследования для оценки функционально-структурного состояния костной ткани и диагностики остеопороза, однако, с момента начала изменения в костной ткани и до момента получения достоверной информации необходим более длительный промежуток времени.[4]:72

При этом следует отчётливо понимать, что ни один из параметров и методов диагностики не является исчерпывающим или самодостаточным. У каждого метода есть свои преимущества и недостатки, а для получения более достоверной клинической картины необходимо — комплексное мультидисциплинарное обследование.

«Биохимические маркёры костной резорбции, показатели минеральной насыщенности крови, уровень остеотропных гормонов, а также данные денситометрии у одной пациентки не всегда однонаправлены и не во всех случаях соединяются в однородную клиническую картину. Этот факт лишь свидетельствует о дискретности данного патологического процесса и расхождении во времени биохимических и морфологических проявлений одного и того же заболевания, что нисколько не умаляет значимости этих диагностических критериев, но только указывает на необходимость комплексного обследования и системных выводов».[4]:72

Хотя не существует какого-либо единственного и специфического костного маркёра и невозможно поставить диагноз только на основании исследования биохимических маркёров костного ремоделирования, тем не менее, они позволяют проводить дифференциальную диагностику метаболических заболеваний скелета (особенно с остеомаляцией) и наблюдение за динамикой костного метаболизма при лечении остеопороза.[2]:106-107

Показатели костной резорбции:
Продукты остеокластов — кислая фосфатаза, тартратрезистентная кислая фосфатаза (ТРКФ) — определяются биохимическим анализом крови.
Продукты деградации коллагена — гидроксипролин (определяется в моче), пиридинолин и дезоксипиридинолин (могут определяться как в моче, так и в крови).[6] Коллагеновые перекрёстные группы: N-концевой телопептид, С-концевой телопептид (CrossLaps) — определяются в моче и крови.
Продукты распада минерального комплекса — уровень ионизированного кальция в крови, концентрация кальция и фосфора в моче по отношению к креатинину (утром натощак).

3. Биопсия костной ткани.
Гистоморфологическое исследование до сих пор остаётся единственным методом прямого и точного анализа ремоделирования кости на клеточном и тканевом уровне. Этот метод играет первостепенную роль в постановке диагноза, он достоверно позволяет дифференцировать заболевания характеризующиеся разрежением костной ткани и исключать остеомаляцию, а также определять скорость ремоделирования кости. Даёт возможность уточнять патогенез заболевания, выявляя анатомическую и гистопатологическую гетерогенность механизмов, ведущих к утрате костной ткани при остеопорозе. Кроме того он позволяет судить о качестве кости и оценивать эффективность лечения с позиции воздействия лекарственных средств на процессы ремоделирования (подавляющих резорбцию или стимулирующих образование костной ткани). В последнее время именно эта сфера применения гистоморфометрии кости занимает важное место в клинических и экспериментальных исследованиях.[1]:321 Однако далеко не все патоморфологические лаборатории оснащены соответствующим оборудованием для работы с недекальцинированной костью, кроме того проведение исследования является трудоёмким, длительным и дорогостоящим. При этом нельзя не учитывать, что получение любого биоптата связано с внедрением в организм, которое сопряжено с риском и дискомфортом для пациента.[2]:109

Факторы риска ускорения костной резорбции

Основные заболевания, характеризующиеся повышенной резорбцией и утратой костной ткани это остеопения и остеопороз. Как правило, они протекают медленно и бессимптомно, что затрудняет их диагностику в ранние сроки. Поэтому так важно знать те факторы, признаки и условия, которые способствуют развитию этих заболеваний или указывают на уже начавшиеся нарушения.

К таким факторам, прежде всего, относятся гормональные — это сам по себе факт принадлежности к женскому полу, низкий уровень эстрогенов, позднее начало менструаций, нестабильный цикл, длительный период аменорей до наступления менопаузы, бесплодие, ранняя менопауза (в том числе после хирургических или других вмешательств), частые беременности и роды, длительная лактация.

Некариозные поражения зубов,
видимые маркёры процессов костной резорбции

У женщин, имеющих в анамнезе какие-либо из перечисленных факторов, при снижении уровня эстрогенов развиваются некариозные поражения зубов (эрозии, клиновидные дефекты, повышенная стираемость). Эта патология характеризуется убылью (часто — видимой) твёрдых тканей зубов (эмали, дентина и цемента), которая часто сопровождается их повышенной чувствительностью (гиперестезией зубов).[4]:53

"Зубы являются составной частью костного скелета, к тому же единственной его видимой частью. Общие механизмы в развитии некариозных поражений зубов, остеопении и остеопороза возникают у женщин вследствие снижения базового уровня эстрогенов в крови. Однако остеопения и остеопороз развиваются медленно и бессимптомно, и зачастую диагностируются только в поздние сроки, а некариозные поражения имеют сигнальные симптомы в виде дефектов тканей и гиперестезии зубов, которые легко обнаруживаются и сами себя проявляют. Таким образом, они наглядны, — чем оказывают неоценимую помощь врачу в диагностике.[7]:153

Г.Е. Соловьёва-Савоярова, «Некариозные поражения зубов у женщин как проявление остеопении и остеопороза»

В свете новейших научно-медицинских исследований на стыке стоматологии, эндокринологии и остеологии некариозные поражения зубов могут выступать в качестве сигналов тревоги, предупреждающих о системных гормонально-метаболических нарушений, а также выявляющих на ранних стадиях риск развития остеопении и остеопороза у женщин. Кроме того их проявление следует расценивать как ранний диагностический признак остеопении, а женщины, имеющие некариозные поражения зубов, автоматически входят в группу риска развития остеопороза.[7]:152-153

Другими факторами риска могут стать такие особенности жизни, как наступление менопаузы у женщин, пожилой возраст (как у женщин, так и у мужчин), низкая масса тела, неправильное питание (малое потребление кальция, непереносимость молочных продуктов, дефицит витамина D, избыточное потребление мяса, несбалансированная диета, голодание, злоупотребление кофе и алкоголем), курение, малоподвижный образ жизни (гиподинамия), избыточные физические нагрузки.

Сопутствующие заболевания и состояния, относящиеся к факторам риска, это эндокринные заболевания (гипогонадизм, болезнь Иценко — Кушинга, гипертиреоз, сахарный диабет I-го типа и др.), заболевания органов пищеварения, почек, крови, ревматические заболевания, нервная анорексия, хронические обструктивные заболевания лёгких, иммобилизация, лучевая терапия.[2]:175-176

Некоторые лекарственные препараты (кортикостероиды, тиреоидные гормоны, гепарин, циклоспорин, тетрациклины и др.) при длительном применении также могут провоцировать или усиливать костную резорбцию.

См. также

Примечания

  1. 1 2 3 4 5 6 7 8 9 10 Риггз Б.Л., Мелтон III Л. Дж. «Остеопороз. Этиология, диагностика, лечение» / пер. с англ. под общей редакцией проф. Е. А. Лепарского, Москва — СПб.: «БИНОМ», «Невский диалект», 2000, ISBN 5-7989-0185-8 — 560 с.
  2. 1 2 3 4 5 6 7 8 9 10 11 12 13 14 15 16 17 Рожинская Л. Я., «Системный остеопороз: Практическое руководство для врачей».— Москва: Издатель Мокеев, 2000 г. издание 2-е, переработанное и дополненное — 196 с. ISBN 5-93135-003-9
  3. Löwik C. W. G. M., van der Pluijm G., Bloys H. et al. Parathyroid hormone (PTH) and PTH-like protein (PLP) stimulate interleukin-6 production by osteogenic cells: a possible role of interleukin-6 in osteoclastogenesis // Res. Commun. — 1999. — No. 162. P. 1549. doi:10.1016/0006-291x(89)90851-6. PMID 2548501.
  4. 1 2 3 4 5 6 Соловьёва-Савоярова Г.Е., Дрожжина В.А. «Эстрогены и некариозные поражения зубов» / Силин А.В.. СПб.: Издательство СЗГМУ им. И.И. Мечникова, 2012. — 140 с. 700 экз. — ISBN 978-5-89588-049-4.
  5. McCormick R. Osteoporosis: integrating biomarkers and other diagnostic correlates into the management of bone fragility // Alternative Medicine Review. — 2007. — Vol. 12, N 2. — P. 127. PMID 17604458.
  6. 1 2 3 И. П. Ермакова, И. А. Пронченко, «Современные биохимические маркеры в диагностике остеопороза», Медицинский научно-практический журнал Остеопороз и остеопатии, № 1, 1998. Дата обращения: 13 февраля 2014. Архивировано 23 февраля 2014 года.
  7. 1 2 Соловьёва-Савоярова Г.Е., Силин А.В., Дрожжина В.А. «Некариозные поражения зубов у женщин как проявление остеопении и остеопороза». Материалы конференции. XVIII Международная конференция челюстно-лицевых хирургов и стоматологов «Новые технологии в стоматологии». СПб.: Министерства здравоохранения и соц. Развития РФ, 2013. — С. 152-153. — 188 с.

Литература

  • Риггз Б. Л., Мелтон III Л. Дж. «Остеопороз» (перевод с английского) М. — СПб.: БИНОМ, Невский диалект, 2000.— 560 с. ISBN 5-7989-0185-8
  • Рожинская Л. Я. «Системный остеопороз»: Практическое руководство для врачей.— М.: Издатель Мокеев, 2000.— 196 с. ISBN 5-93135-003-9
  • Руденко Э. В. «Остеопороз: диагностика, лечение и профилактика». Практическое руководство для врачей.— Минск.: Белнаука, 2001.— 153 с. ISBN 985-08-0421-1
  • Соловьёва-Савоярова Г. Е., Дрожжина В. А. «Эстрогены и некариозные поражения зубов». — СПб., Издательство СЗГМУ им. И. И. Мечникова, 2012. — 140 с. ISBN 978-5-89588-049-4
  • Соловьёва-Савоярова Г. Е., Дрожжина В. А., Силин А. В., «Некариозные поражения зубов, этиопатогенетический подход к их реконструкции». Материалы IX научно-практической конференции "Современные методы диагностики, лечения и профилактики стоматологических заболеваний. Эндодонтия и реставрации. — СПб., СПбИНСТОМ, 2012, — 121 с. ISBN 978-5-88711-329-6
  • Соловьёва-Савоярова Г. Е., Силин А. В., Дрожжина В. А. «Некариозные поражения зубов у женщин как проявление остеопении и остеопороза». Материалы конференции. XVIII Международная конференция челюстно-лицевых хирургов и стоматологов «Новые технологии в стоматологии». — СПб., издательство Министерства здравоохранения и соц. Развития РФ. — 188 с.
  • Bettica P., Moro L. «Biochemical markers of bone metabolism in the assessment of osteoporosis» JIFCC 1995. V. 7, issue 1, pp. 16–22. PMID 10155716.
  • Eriksen E.F., Colvald D.S., Berg N.J. et al. «Evidence of estrogen receptors in normal human osteoblast-like cells». — Science. 1988. vol. 241 (1), P.84-86. doi:10.1126/science.3388021. PMID 3388021.
  • Löwik C.W.G.M., van der Pluijm G., Bloys H. et al. «Parathyroid hormone (PTH) and PTH-like protein (PLP) stimulate interleukin-6 production by osteogenic cells: a possible role of interleukin-6 in osteoclastogenesis». Res. Commun. — 1999. — № 162. pp. 1546–1552. doi:10.1016/0006-291x(89)90851-6. PMID 2548501.
  • McCormick R. «Osteoporosis: integrating biomarkers and other diagnostic correlates into the management of bone fragility». Alternative Medicine Review. — 2007. — Vol. 12, № 2. — pp. 113–145.
  • Roodman G.D., «Advances in Bone Biology». — The Osteoclast Endocr. Rev. 1996. Vol.17 (4). pp. 308–332. doi:10.1210/edrv-17-4-308. PMID 8854048.
  • Välimäki M. J., Tähtelä R., Jones J. D., Peterson J. M., Riggs BL. «Bone resorption in healthy and osteoporotic postmenopausal women: comparison markers for serum carboxy-terminal telopeptide of type I collagen and urinary pyridinium cross-links». Eur. Journal Endocrinol. 1994, v. 131, pp. 258–262. doi:10.1530/eje.0.1310258. PMID 7921210.

Ссылки