Псевдомиксома брюшной полости

Псевдомиксома брюшной полости
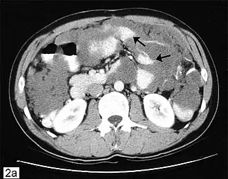
Компьютерная томограмма брюшной полости с изображением псевдомиксомы брюшной полости с рассеянными перитонеальными массами (стрелки).
Компьютерная томограмма брюшной полости с изображением псевдомиксомы брюшной полости с рассеянными перитонеальными массами (стрелки).
МКБ-10 C48.2
МКБ-10-КМ C78.6
МКБ-9 197.6
МКБ-О M8480
DiseasesDB 31498
eMedicine med/1795 
MeSH D011553

Псевдомиксома брюшной полости (лат. pseudomyxoma peritonei, PMP) — клиническое состояние, вызванное раковыми клетками (муцинозной аденокарциномой), производящими чрезмерное количество муцина или желеобразной жидкости в брюшинной полости. Псевдомиксома ведет к образованию фиброза, замедляет пищеварение и функционирование других органов. В тех случаях, когда лечение заболевания не проводится, опухоль и муцин заполняют брюшную полость. Это приводит к сжатию органов, нарушению функционирования толстого и тонкого кишечников, желудка и других органов. Во многих случаях прогноз оптимистический, но болезнь является летальной при отсутствии лечения. Как правило, смерть наступает от истощения, непроходимости кишечника и других осложнений.

Считается, что заболевание вызвано первичным раком аппендикса; у женщин в заболевание могут быть вовлечены муцинозные опухоли яичника, однако, в большинстве случаев, рак яичников является метастазом из рака аппендикса или других органов пищеварительной системы. В заболевании различают высокую (при наличии гистологически подтвержденных перстневидных клеток) и низкую степени злокачественности. В случае низкой степени злокачественности рак редко распространяется через лимфатическую и кровеносную системы.

Признаки и симптомы

Увеличение живота при внешних признаках истощения, появление желеобразных выделений из пупка, затрудненное пищеварение.

Диагностика

Данное заболевание часто выявляется при хирургических операциях, проводимых по другим показаниям (удаление грыж), при этом опытный патолог может подтвердить диагноз. На последующих стадиях рассеянные опухоли пальпируются в абдоминальной области. Может выявляться вздутие живота, а также «желеподобный живот»[1] (сленговый медицинский термин, используемый для данного заболевания). В силу редкости заболевания, важна постановка точного диагноза для назначения соответствующего лечения. Диагностические процедуры могут включать проведение компьютерной томограммы, гистологического и иммуногистохимического исследования образцов, полученных при проведении диагностической лапароскопии. В качестве косвенных признаков может быть использовано проведение анализов крови на выявление онкомаркеров (РЭА, CA242). В большинстве случаев гастроскопия и колоноскопия оказываются неэффективными диагностическими средствами, поскольку рак аппендикса поражает брюшную полость, но не толстый кишечник (следует иметь в виду имеющиеся сообщения о редких случаях распространения рака аппендикса на кишечник). Ирригоскопия в ряде случаев указывает на дисфункцию илеоцекального клапана, расположенного в непосредственной близости от аппендикса. Позитронно-эмиссионная томография может быть использована для оценки злокачественной муцинозной аденокарциномы, однако данный тест не подходит для оценки доброкачественной разновидности опухоли, поскольку не может выявить теневое изображение новообразования. Магнитно-резонансная томография в настоящее время адаптируется для мониторинга заболевания, однако обычные магнитно-резонансные томографы как правило не используются в качестве диагностического инструментария. Диагноз также может быть подтвержден в патологических исследованиях.

Лечение

Лечение различается в силу как редкости заболевания, так и медленного роста опухоли. Диапазон лечебных стратегий разнообразен — от выжидательной позиции до циторедукции и высокотемпературной интраперитонеальной химиотерапии[2].

Хирургия

Хирургическое лечение заболевания предложено проф. П. Шугабейкером и включает в себя циторедукцию, направленную на иссечение брюшины, желудка, толстого, тонкого кишечника, пупка и других пораженных органов. В рамках операции с помощью специального аппарата проводится высокотемпературная интраперитонеальная химиотерапия (HIPEC). Операция длится от 8 до 10 часов. Высокая стоимость операции обусловлена её сложностью и необходимостью привлечения междисциплинарной команды врачей. Для оценки работы хирургов проводятся мультицентровые исследования[3].

Химиотерапия

Химиотерапия (обычно с использованием химиотерапевтического агента Митомицин С) может вводиться непосредственно в брюшную полость после циторедуктивной хирургии (операции по удалению всех видимых заболеваний для уничтожения оставшихся микроскопических раковых опухолей и свободно плавающих клеток). Химиотерапия с подогревом (HIPEC) перфузируется по всей брюшной полости в течение часа или двух в качестве последнего этапа операции, или устанавливаются порты для обеспечения циркуляции и/или дренирования химических веществ в течение от одного до пяти дней после операции, что известно как раннее послеоперационная внутрибрюшинная химиотерапия (EPIC). EPIC можно вводить несколькими циклами в течение нескольких месяцев после операции[4].

Эпидемиология

Общая заболеваемость ранее оценивалась от 0,5 до 1 случая на 100 000 человек в год[5]. Недавние исследования в Европе показывают, что предыдущая оценка в 1-2 человека на миллион может быть занижена фактическим показателем примерно наполовину, при этом реальная заболеваемость составляет примерно 3,2 человека на миллион, а распространенность составляет 22 человека на миллион[6]. Немного чаще встречается у женщин, чем у мужчин (соотношение мужчин и женщин примерно 1:1,3[7][8]), хотя фактическое соотношение трудно определить из-за возможных ошибочных диагнозов и, возможно, систематической ошибки включения в опубликованные исследования. Средний возраст при обращении обычно составляет около 50 лет с диапазоном от 20 до 25 лет, но PMP может поражать людей любого возраста[9].

История

Первый случай был описан Карлом Ф. Рокитанским в 1842 году[10].

Верт в 1884 году ввёл термин псевдомиксома брюшины. Он описал случай женщины с студенистыми массами в брюшной полости от предполагаемой разорвавшейся псевдомуцинозной цистаденомы яичника, у которой он обнаружил псевдомуцин вместо муцина[11].

В 1901 году Франкель описал первый случай PMP в связи с кистой аппендикса[12].

Одри Хепберн умерла от псевдомиксомы брюшины в 1993 году.

Примечания

  1. jelly belly Архивная копия от 28 августа 2014 на Wayback Machine.  (англ.)
  2. New standard of care for appendiceal epithelial neoplasms and pseudomyxoma peritonei syndrome? - The Lancet Oncology. Дата обращения: 22 июня 2023. Архивировано 24 июня 2023 года.
  3. S. Kusamura, B. J. Moran, P. H. Sugarbaker, E. A. Levine, D. Elias, D. Baratti, D. L. Morris, A. Sardi, O. Glehen, M. Deraco. Multicentre study of the learning curve and surgical performance of cytoreductive surgery with intraperitoneal chemotherapy for pseudomyxoma peritonei // British Journal of Surgery. — 2014. № 101(13). doi:10.1002/bjs.9674.
  4. Alfred T. Culliford, Ari D. Brooks, Sunil Sharma, Leonard B. Saltz, Gary K. Schwartz, Eileen M. O’Reilly, David H. Ilson, Nancy E. Kemeny, David P. Kelsen, Jose G. Guillem, W. Douglas Wong, Alfred M. Cohen, Philip B. Paty. Surgical Debulking and Intraperitoneal Chemotherapy for Established Peritoneal Metastases From Colon and Appendix Cancer (англ.) // Annals of Surgical Oncology. — 2001-12-01. Vol. 8, iss. 10. P. 787–795. ISSN 1534-4681. doi:10.1007/s10434-001-0787-9.
  5. Schelomo Marmor, Pamela R. Portschy, Todd M. Tuttle, Beth A. Virnig. The Rise in Appendiceal Cancer Incidence: 2000–2009 (англ.) // Journal of Gastrointestinal Surgery. — 2015-04-01. Vol. 19, iss. 4. P. 743–750. ISSN 1873-4626. doi:10.1007/s11605-014-2726-7. Архивировано 17 августа 2023 года.
  6. Источник. Дата обращения: 22 июня 2023. Архивировано 22 июня 2023 года.
  7. Robert M. Smeenk, Sjoerd C. Bruin, Marie-Louise F. van Velthuysen, Victor J. Verwaal. Pseudomyxoma Peritonei (англ.) // Current Problems in Surgery. — 2008-08-01. Vol. 45, iss. 8. P. 527–575. ISSN 0011-3840. doi:10.1067/j.cpsurg.2008.04.003.
  8. The role of baseline inflammatory-based scores and serum tumor markers to risk stratify pseudomyxoma peritonei patients treated with cytoreduction (CRS) and hyperthermic... Дата обращения: 22 июня 2023. Архивировано 22 июня 2023 года.
  9. Mack H. Sullivan, Paul H. Sugarbaker. Treatment of pseudomyxoma peritonei in a geriatric patient population (англ.) // Journal of Surgical Oncology. — 1995-02. Vol. 58, iss. 2. P. 121–124. doi:10.1002/jso.2930580210. Архивировано 22 июня 2023 года.
  10. Jerome T. O'Connell, James S. Tomlinson, Alice A. Roberts, Kathryn F. McGonigle, Sanford H. Barsky. Pseudomyxoma peritonei is a disease of MUC2-expressing goblet cells // The American Journal of Pathology. — 2002-08. Т. 161, вып. 2. С. 551–564. ISSN 0002-9440. doi:10.1016/S0002-9440(10)64211-3. Архивировано 22 июня 2023 года.
  11. Источник. Дата обращения: 22 июня 2023. Архивировано 22 июня 2023 года.
  12. Источник. Дата обращения: 22 июня 2023. Архивировано 22 июня 2023 года.