Носовой цикл

Носовой (назальный) цикл (НЦ) — физиологический феномен[1][2][3], заключающийся в циклическом изменении степени набухания пещеристых тел слизистой оболочки обеих половин полости носа. Наблюдается у людей и некоторых других животных.
Описание
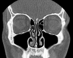
Носовой цикл — периодические изменения сопротивления слизистой оболочки правой и левой половин носа в ответ на проходящую через них воздушную струю[1].
Носовой цикл упоминается в древнеиндийской йогической литературе о пранаяме[4]. В современной западной литературе был впервые описан немецким врачом Рихардом Кайзером в 1895 году[5]. Согласно Кайзеру, носовой цикл состоит из двух фаз: рабочей (вазоконстрикции) и фазы отдыха (вазодилатации)[6]. Таким образом, правая и левая ноздри пропускают воздух неравномерно, одна из них лучше, а другая — хуже[7]. Считается, что носовой цикл способствует восстановлению «отдыхающей» слизистой оболочки после микротравм, обеспечивает лучшую элиминации микроорганизмов, аллергических агентов и других мельчайших частиц. Продолжительность одного цикла у взрослого человека в среднем составляет от 2,5 до 3,3 часов, варьируясь от 50 минут до 7,3 часов, у детей — в среднем от 42 минут до 1,9 часов, варьируясь от 15 минут до 3,5 часов[1]. Реснички на рабочей стороне приостанавливают свою подвижность до тех пор, пока эта сторона не снимет набухание. Происходит увлажнение поступающего воздуха в одной из оболочек перед поступлением в лёгкие, что является одной из важнейших функций носа[8]. Работа цикла может нарушиться под влиянием токсических веществ, в том числе табачного дыма, интраназальных инсталляциях некоторых лекарственных средств, или патологических процессов в полости носа и околоносовых пазухах. Цикл нарушается либо исчезает полностью, что мешает нормальному функционированию слизистой, а также может привести к нарушению работы других органов[2].
При болезни, когда к носу приливает больше крови, увеличивается отёк в слизистой, прибавляясь к уже набухшему в ходе носового цикла. Поэтому при полной заложенности носа чувствуется, что одна из ноздрей заложена сильнее[9].
У других животных
Носовой цикл характерен не только для человека, но и для других животных. Подобная цикличность установлена при изучении носового дыхания у кошки, кролика, крысы, свиньи и собаки[1].
Примечания
- 1 2 3 4 Шиленкова Н. В., Федосеева, О. В. Носовой цикл у здоровых взрослых : [арх. 15 августа 2020] // Российская ринология. — Ярославль : Ярославский государственный медицинский университет, 2016. — № 2. — С. 20—24. — doi:10.17116/rosrino201624220-24.
- 1 2 Федосеева, О. В. Носовой цикл и его практическое применение в оториноларингологии : [арх. 7 апреля 2023] / ректор проф. А. В. Павлов // Российская оториноларингология. — Ярославль : Ярославский государственный медицинский университет, 2018. — УДК 616.211-08:613.84. — doi:10.18692/1810-4800-2018-3-92-97.
- ↑ Kumaran, Muthu. Alteration in Nasal Cycle Rhythm as an Index of the Diseased Condition (англ.) // Pathophysiology. — 2017. — 20 December. — doi:10.5772/intechopen.70599. Архивировано 7 апреля 2023 года.
- ↑ Swami Muktibodhananda. Prana: Vital Energy // Swara yoga : the tantric science of brain breathing. — Munger, Bihar, India : Yoga Publications Trust, 2004. — P. 12. — ISBN 978-81-85787-36-7. (англ.)
- ↑ Kayser, Richard (1895). Die exakte Messung der Luftdurchgängigkeit der Nase. Arch. Laryng. Rhinol. (Berl.). 8: 101. (нем.)
- ↑ Морозова С. В., Митюк А. М. Физиологические и клинические аспекты носового дыхания // Русский медицинский журнал. — № 23. — С. 19—25. Архивировано 7 апреля 2023 года.
- ↑ Почему не дышит нос. Насморк, искривление носовой перегородки, гайморит – как правильно лечить. — Эксмо, 2020. — 90 с. — ISBN 978-5-04-114129-5.
- ↑ Thomas Hummel; Antje Welge-Lüssen (2006-01-01), Taste and Smell: An Update, Karger Medical and Scientific Publishers, pp. 12–, ISBN 978-3-8055-8123-3 (англ.)
- ↑ Ястребов, Пётр. Почему при насморке сильнее закладывает только одну ноздрю. Ваш нос умнее, чем вы думаете. Men Today (18 марта 2023). Дата обращения: 7 апреля 2023. Архивировано 7 апреля 2023 года.