Врождённая эндотелиальная дистрофия роговицы, тип 2
| Врождённая эндотелиальная дистрофия роговицы, тип 2 | |
|---|---|
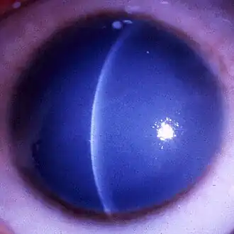
| Помутнение роговицы из-за отёка стромы, вызванного дисфункцией клеток эндотелия. (Снято доктором Ahmed A. Hidajat) | |
| МКБ-10-КМ | H18.5 |
| OMIM | 217700 |
| MeSH | C536439 |
Врождённая эндотелиальная дистрофия роговицы, тип 2 — редкая форма дистрофии роговой оболочки человека. Наследуется по аутосомно-рецессивному пути, в отличие от первого типа эндотелиальной врождённой дистрофии. Выявлена ассоциация с геном SLC4A11,[1] причём с этим геном также ассоциирован редкий синдром, характеризующийся аутосомно-рецессивной дистрофией роговицы и перцептивной глухотой (англ. Autosomal recessive corneal dystrophy and perceptive deafness; CDPD; OMIM 217400). Ген SLC4A11 кодирует транспортер, предположительно регулирующий внутриклеточную концентрацию бора.
Примечания
- ↑ Vithana E.N., Morgan P., Sundaresan P., Ebenezer N.D., Tan D.T., Mohamed M.D., Anand S., Khine K.O., Venkataraman D., Yong V.H., Salto-Tellez M., Venkatraman A., Guo K., Hemadevi B., Srinivasan M., Prajna V., Khine M., Casey J.R., Inglehearn C.F., Aung T. Mutations in sodium-borate cotransporter SLC4A11 cause recessive congenital hereditary endothelial dystrophy (CHED2) (англ.) // Nat. Genet. : journal. — 2006. — July (vol. 38, no. 7). — P. 755—757. — doi:10.1038/ng1824. — PMID 16767101.